发布时间:2022-03-14 11:28 原文链接: 腹部创伤引起的双侧输尿管断裂病例报告

病例报告


患者,男,29岁,因高速事故外伤入院,事故发生时患者系有安全带,从车内弹出。患者主诉呼吸困难,左肺呼吸音减弱。进行静脉管和左胸导流管置入,后紧急送往医院接受治疗。患者腹部可见安全带勒痕。全身增强CT扫描示左侧膈肌破裂、脾损伤,左肾I级损伤伴有腹膜后血肿。行紧急剖腹手术,见大面积血肿。对左膈肌和脾损伤部位进行缝合处理,修复肠系膜。由于腹膜后血肿面积不断扩大,因而对肾损伤采取保守治疗。手术期间共输注10个单位的红细胞,患者血清蛋白水平升高至10.5g/dL。

 

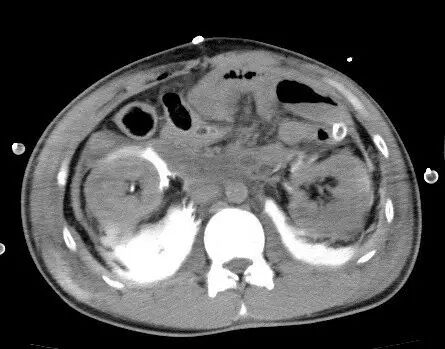
在重症监护室中,患者血压110/60mmHg,心率106次/分,但术后9小时仍未排尿。后行腹部X线检查。肾盂输尿管结合处检测到造影材料渗漏,再次CT发现双侧肾周腹膜后对比度增强(图2)。对其进行膀胱镜检查和双侧逆行肾盂造影,显示双侧输尿管完全破裂,无法植入输尿管支架。诊断性剖腹示双侧肾盂输尿管结合处完全破裂。双侧植入双J输尿管支架,并行肾盂输尿管吻合术。患者术后进展良好,术后第23天出院。


图1

图2

 

讨论


由钝伤引起的输尿管损伤十分罕见,在所有创伤性泌尿生殖器损伤中所占比例不足1%。根据相关资料显示,10000例因外伤入院患者中,输尿管损伤仅占3例,且多由穿透性外伤导致。输尿管损伤经常会被遗漏。超过50%患者诊断延迟。及早检测和早期修复对于防止肾切除术来说是十分必要的,诊断延迟可增加并发症和肾切除风险。McGinty等人表示,早期诊断治疗患者的肾切除率为4.5%,而在诊断延迟的患者中,该数据高达32%。


对于上述患者,若忽略其输尿管损伤症状,则可能会导致该患者行双肾切除术。逆行性肾盂造影敏感度和特异性极高,它可作为诊断成像的参考标准,但时间长且不易实施。增强CT或肾、输尿管、膀胱X线检查常作为推荐检查方案。

 

参考文献

1.      BestCD, Petrone P, Buscarini M, et al: Traumatic ureteral injuries: a singleinstitution experience validating the American Association for the Surgery ofTrauma-Organ Injury Scale grading scale. J Urology. 2005, 173: 1202-5.10.1097/01.ju.0000155526.37963.ef.View ArticleGoogle Scholar

2.      SlobogeanGP, Tredwell SJ, Masterson JS: Ureteropelvic junction disruption and distalureter injury associated with a Chance fracture following a traffic accident: acase report. J Orthp Surg. 2007, Hong Kong, 15: 248-50.Google Scholar

3.      AinsworthT, Weems WL, Merrell WH: Bilateral ureteral injury due to non-penetratingexternal trauma. J Urology. 1966, 96: 439-42.Google Scholar