发布时间:2018-03-15 10:41 原文链接: 扫描电镜中如何观察含水样品?

扫描电镜(SEM)用电子束扫描样品表面,收集携带电子束与样品相互作用信息的反射电子。如果样品仓内残留有空气,空气原子与电子束相互作用,部分偏转电子,并在图像上增加噪声。 


这就是扫描电镜成像前必须达到一定真空度的原因。但是,虽然高的真空对于准确的分析来说是至关重要的,但它也会对某些类型的材料成像产生负面影响,例如含有水分的样品。阅读这篇博客,了解如何在扫描电镜的真空环境中观察对真空敏感的样品,并保持样品结构完整。 


SEM中的真空度 

首先,我们来谈谈扫描电镜(SEM)中的真空度。真空度(或压力值)可由操作者控制。对于台式扫描电镜,真空度在1 - 10帕斯卡之间。用于比较的是:大气压是100000帕斯卡。

 

当压力降到大气压值以下时,所有液体都会发生相变。因此所有扫描电镜(SEM)的内部必须采用不受高真空度影响的特殊材料。 

有些样品会受到影响,并且它们的行为也会有所不同:最敏感的是含水样品。

有内部孔隙的样品,或者是由含水材料制成的样品,都可能会受到影响,因为它们会在成像过程中释放出气体。


任何从样品中释放出的气体都是成像工具的风险,因为它可能会污染镜筒或探测器,损害仪器的功能,或影响图像质量。出于这个原因,飞纳台式扫描电镜(Phenom Desktop SEM)通常配备一个保护程序,当检测到突然或意外增加的压力水平时,会弹出样品。


如何防止或限制样品释放气体

预测样品的行为并不那么容易:植物叶子通常可以在没有任何特殊预防措施的情况下成像,而奶酪则会释放气体。这就是为什么得到好的图像的关键是样品制备。有一些技巧可以防止或限制样品释放气体。许多都需要对样品进行预处理。

 

飞纳扫描电镜下的新鲜叶子,不用喷金,直接观察,气孔清晰可见


 

利用飞纳电镜温度样品杯在-25°C观察蓝纹奶酪上霉菌孢子 


例如,干燥器可以从样品中去除液体,并为成像做好准备。

尽管这一过程将提供非常好的图像,但图像不能代表原始样品。由于环境压力较小,样品深层的水可能会通过样品的内部结构进入大气并蒸发。

 由于这种样品内部释放气体的结果,样品将显示假象——甚至在最坏的情况下,整个结构可能会塌陷。


还有其他的替代方案。在较低的真空模式中操作扫描电镜(SEM)(或增加压力)会减慢蒸发速度,同时冻结样品几乎可以完全停止样品释放气体过程,并保持样品的原始结构。


飞纳电镜拓展选件——温控样品杯

为了研究对真空度敏感及易脆性的样品,如生物、食品和有机涂层等,飞纳电镜研发了温控样品杯。温控样品杯能控制样品的温度,从而影响样品周围的湿度。最大限度的降低电子束和真空度对样品的损坏。样品杯的工作原理是基于珀尔帖效应,可以迅速、容易地调整温度。样品的温度能够精确的监控,通过专用键盘控制器来控制。温控样品杯温度控制范围 - 25℃~ + 50℃,精度在 ± 1.5℃。

 

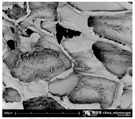
用飞纳电镜温度样品杯在-25°C观察黄瓜的横截面


相关文章

2788万,昆明理工采购23台/套仪器设备

项目概况昆明理工大学重大教学科研仪器设备更新项目(冶能学院二)招标项目的潜在投标人应在政采云平台线上获取获取招标文件,并于2025-10-1608:45(北京时间)前递交投标文件。项目编号:YNZC2......

质谱、电镜等大型仪器在列,淮北师范大学1.5亿采购意向公布

近日,淮北师范大学公布了2025年9月至10月的政府采购意向清单,涉及能源材料、化学、光学等了优势学科领域的科研设备采购项目,预算金额总计达到15280.6万。本次采购涵盖能源材料表面微结构分析、能源......

3851万!安徽工业大学设备更新大单曝光:这家国产厂商入围

近日,安徽工业大学智慧教学及先进技术设备更新项目在中国政府采购网连续发布多个中标结果,显示,自7月份以来,该项目中标项目总金额为502.57万元,采购的仪器设备包括扫描电子显微镜、EBSD电子背散射衍......

近1000万,蔡司、布鲁克中标东南大学显微镜项目

中国政府采购网消息,近日,东南大学电子科学与工程学院发布原子力显微镜和扫描电子显微镜(配有电子束曝光模块)采购结果,显示,Bruker和ZEISS分别以320万元和654.9725万元的价格中标,两台......

942万元,国仪量子等品牌中标昆明医科大设备更新项目

中标结果公告一、项目编号:YNZC2025-G1-02325-YNZZ-0181二、项目名称:昆明医科大学教学科研大型仪器设备更新采购项目(2-2)三、中标信息标段名称:昆明医科大学教学科研大型仪器设......

2987万元,河南省科学院协同创新中心采购质谱等6套仪器设备

项目概况河南省科学院协同创新中心河南省科学院材料创新基地纯化制程与检测分析中心第一批仪器设备购置项目招标项目的潜在投标人应在河南省公共资源交易中心(http://hnsggzyjy.henan.gov......

日立本土化加速国产钨灯丝扫描电镜苏州落地

日立高新技术集团隶属世界500强企业日立制作所,在精密制造领域始终以前沿的技术和信赖的品质闻名于世。自1964年开启中国事业以来,日立高新在60年间始终积极服务于中国客户,秉持着InChina,For......

超4500万元湖北工业大学采购场发射扫描电镜等科研仪器

近日,湖北工业大学发布多个公开招标公告,采购X射线衍射仪、高分辨电子束曝光系统、正置光学显微镜、场发射扫描电子显微镜、原子力显微镜、原子力近场光学共焦拉曼荧光多功能显微镜联用平台、桌面同步辐射谱仪等大......

超1亿元,浙江三所高校发布3月采购意向,含扫描电镜、色谱、质谱等

3月17日,浙江科技大学、中国计量大学、浙江中医药大学三所大学发布3月份采购意向,预算总金额共计1.02288亿元,计划采购的仪器设备涵盖色谱、质谱、扫描电镜等,共计222台/套。本次发布的采购意向中......

2024扫描电镜SEM年度热门仪器盘点

扫描电镜(ScanningElectronMicroscope,SEM)是一种先进的显微成像技术,能够以高分辨率观察样品表面的微观结构。通过电子束轰击样品表面并检测产生的二次电子信号,SEM能够在几纳......